CABINET DENTAIRE SAINT CYPRIEN
Implantologie et chirurgie, Endodontie, Réhabilitation Globale et
Esthétique
NOTRE CABINET
VENIR AU CABINET
URGENCES
NOS CONSEILS DE PREVENTION
VIDEOS
QUESTIONNAIRE COVID-19
9 Avenue Etienne Billières, 31300 Toulouse
+33 5 62 48 57 37
NOTRE CABINET
VENIR AU CABINET
URGENCES
NOS CONSEILS DE PREVENTION
VIDEOS
QUESTIONNAIRE COVID-19
CABINET DENTAIRE SAINT CYPRIEN
Implantologie et chirurgie, Endodontie, Réhabilitation Globale et
Esthétique
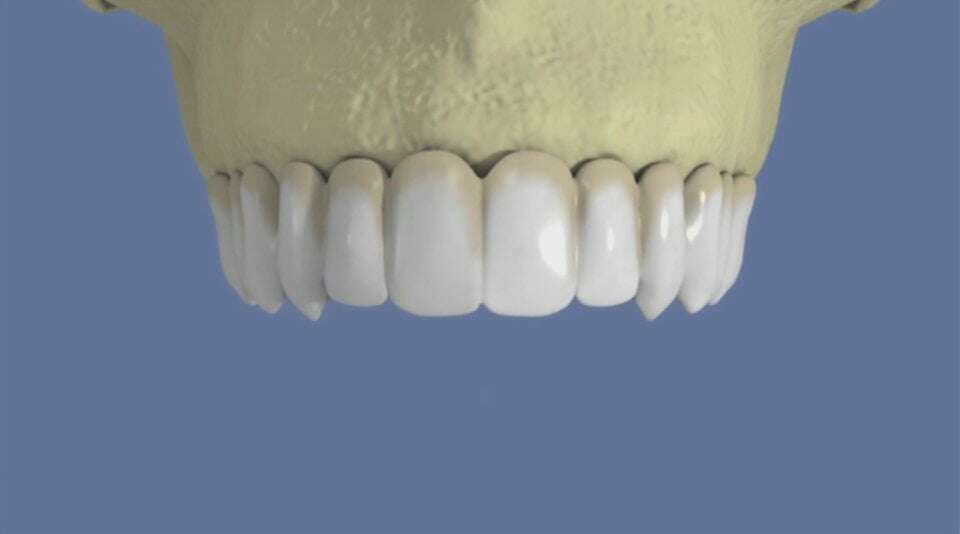
Maxillaire : bridge vissé sans fausse gencive
Vidéos 3D
Précédent
Carriere motion classe ii
Suivant
Le traitement non chirurgical de la parodontite
Articles similaires
Le comblement de sinus par abord crestal
Vidéos 3D
Prothèse complète vissée sur implant
Vidéos 3D
Fixation d’une prothèse par une barre sur 4 implants
Vidéos 3D
Mandibule complète et traitement implantaire pour un bridge fixe vissé
Vidéos 3D
Partager
Twitter
Partager
Partager
Envoyer
Copier
À la une
(5)
Informations pratiques
(8)
L'équipement du cabinet dentaire
(7)
L'orthodontie
(16)
Les choix esthétiques
(11)
Les dents chez l'adulte
(6)
Les dents de l’enfance à l’adolescence
(14)
Les dents et la santé
(19)
Les gencives
(23)
Les implants
(22)
Les pathologies bucco-dentaires
(29)
Les prothèses
(34)
Omnipratique
(194)
Prendre soin des dents
(17)
CABINET DENTAIRE SAINT CYPRIEN
Politique de confidentialité et charte cookie
Mentions légales
Conditions Générales Utilisation
Charte déontologique
Ordre national
Création par
Connexion